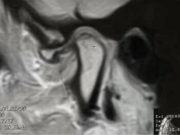
Die Magnetresonanz Tomographie dient vor allem der Darstellung von Weichgewebestrukturen.
Unter Umständen ist diese Darstellungsweise zum Beispiel bei Kiefergelenksbeschwerden oder bei Verdacht auf Speicheldrüsentumore notwendig und wird in einem auswärtigen Röntgeninstitut durchgeführt.
